
When the shoulder dislocation is diagnosed, the shoulder must be “reduced,”
or put back in place.
Should a Shoulder Dislocation be reduced “in the field” or in the ER?
It is possible to treat a Shoulder Dislocation at the scene of the injury, but if transportation to a hospital is available, then this is a much safer option. If a trained provider is available, then a shoulder dislocation can often be easily reduced soon after the injury. In this period of time immediately following the injury, the muscles are not yet in spasm, and the Shoulder Dislocation can usually be reduced with some basic maneuvers.
However, there are potential complications of a shoulder dislocation, and there are possible complications of reducing a dislocated shoulder. Therefore, if trained personnel are not available, or if there are signs of unusual circumstances, reduction of the Shoulder Dislocation is best done in trained hands at a hospital.
How is a shoulder dislocation reduced?
There are several methods to reduce the Shoulder Dislocation into its normal position. If the patient is in the emergency room, the patient will receive anesthesia for the procedure. The two most commonly used types of anesthesia include:
1. Intravenous (IV) Sedation
Most commonly, patients with a Shoulder Dislocation are given IV anesthesia. This both alleviates pain, and makes the patient unconscious for a few minutes. During that time, the physician can manipulate the shoulder dislocation back into position.
2. Local Injection
Injection of Novocaine into the joint can provide ample anesthesia to perform a reduction of a Shoulder Dislocation. Recent studies have shown this type of anesthesia to be just as effective as IV anesthesia, but these patients tend to leave the ER more quickly because they do not have to allow time for the anesthesia to wear off.
There are several maneuvers that can be used to reposition a shoulder dislocation–usually each physician has a favored reduction maneuver. In general, the goal is to manipulate the bones to allow them to slide back into position without causing further damage to the shoulder joint.
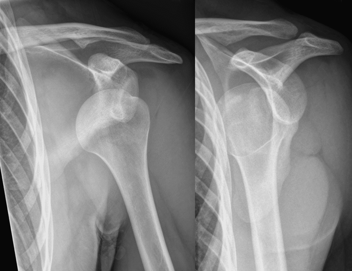
Once the Should Dislocation is back in place, repeat x-rays are performed to ensure it is indeed in the correct position, and to evaluate for other injuries such as fractures. Patients are placed in a sling to rest the shoulder and referred to their orthopedic surgeon for further management.
- Fracture Around The Shoulder
- Shoulder Arthroscopy
- Shoulder Impingement
- frozen Shoulder
- Shoulder dislocation
- Shoulder Joint Replacement
- Rotator Cuff Tear
- Biceps Tendinitis
- Calcific Tendinitis
- Carpal Injuries
- Reverse Shoulder Replacement Surgery
- Precover Redant Shoulder Location
- Elbow Replacement
- Elbow Arthroscopy
- Elbow Fracture
- Elbow dislocation
- Tennis Elbow
- Radial Head Replacement
- Wrist Scaphoid Nonunion
- Wrist Fractures
- Wrist Scaphoid Fractures
- Wrist Arthroscopy
- Rheumatoid Wrist
- Thumb Pain – 1st CMC Arthritis
