
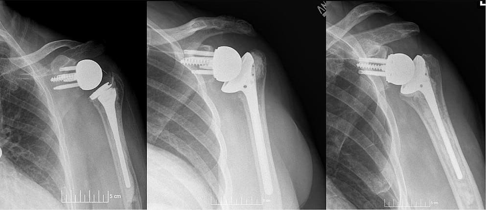
Complex Shoulder fractures
Shoulder Fractures are extremely common and while a lot of them are ‘simple’ and do not require surgery, if the fracture is displaced sufficiently, or if there are more “ parts”, then these fractures do need an operation.
Complex Shoulder Fractures are per se difficult, and do leave behind a residual disability if not done well. Therefore it is important for you to consult a shoulder expert!
You also require good therapy and guidance after your surgery to get the best results!!

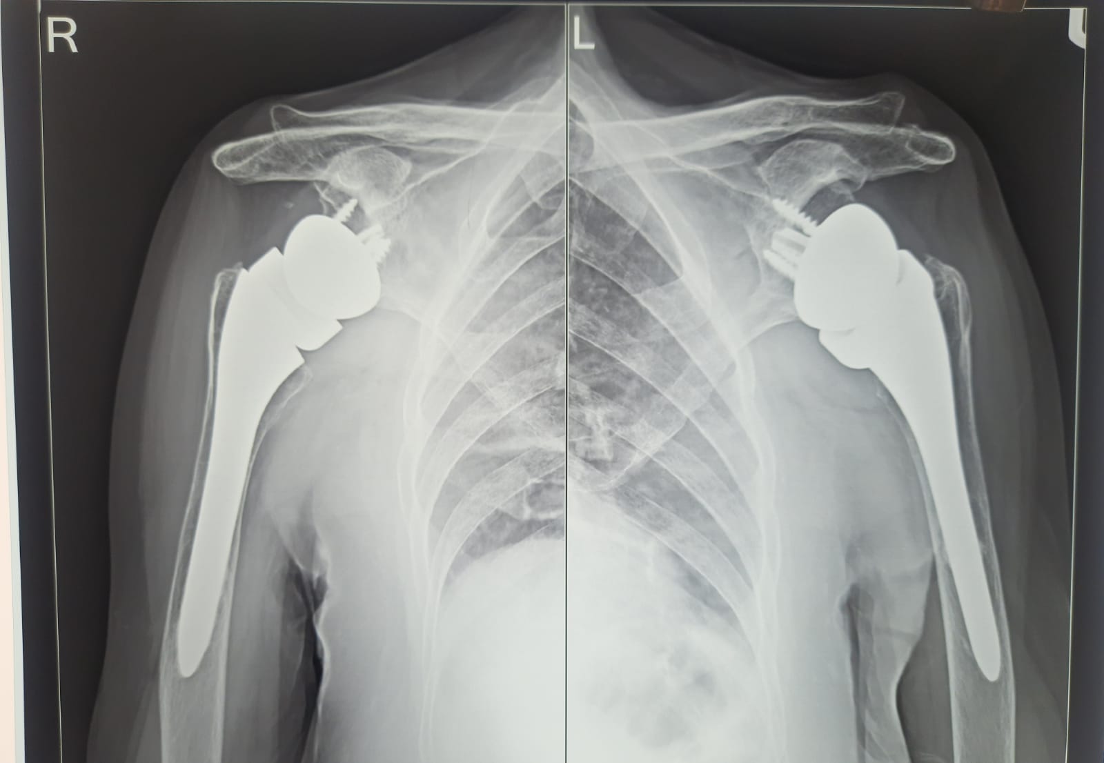
Bilateral Reverse Shoulder Replacement in an elderly lady, Who is now 85 years old. Right Reverse Shoulder done 8 years ago and left 4 years ago.

8 Years follow up Right RTSR, 4 Years follow up LEFT
- Fracture Around The Shoulder
- Shoulder Arthroscopy
- Shoulder Impingement
- frozen Shoulder
- Shoulder dislocation
- Shoulder Joint Replacement
- Rotator Cuff Tear
- Biceps Tendinitis
- Calcific Tendinitis
- Carpal Injuries
- Reverse Shoulder Replacement Surgery
- Precover Redant Shoulder Location
- Elbow Replacement
- Elbow Arthroscopy
- Elbow Fracture
- Elbow dislocation
- Tennis Elbow
- Radial Head Replacement
- Wrist Scaphoid Nonunion
- Wrist Fractures
- Wrist Scaphoid Fractures
- Wrist Arthroscopy
- Rheumatoid Wrist
- Thumb Pain – 1st CMC Arthritis
