
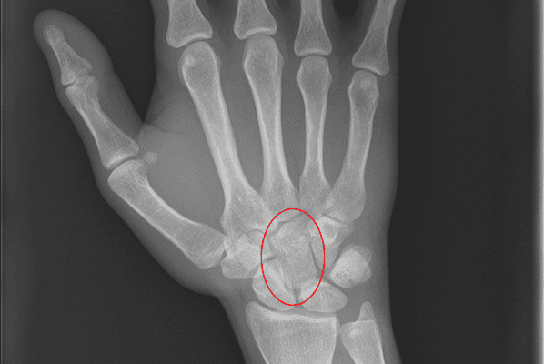
Carpal bone Fractures can be difficult to detect on conventional Xray and may require CT for diagnosis.
Where Carpal Fracture is suspected, X-rays in the anteroposterior (AP), lateral and oblique views are needed. Bone scans and CT scans are sometimes helpful if the fracture is not obvious on plain X-ray and should be considered where fracture is still suspected.
Carpal bone Fractures are common hand fractures that can be complicated by concomitant damage to surrounding structures, chronic comorbidities, or delays in diagnosis.
These are rare but devastating injuries. They can be associated with a carpal fracture. Fracture dislocations are twice as common as pure ligamentous dislocations. Isolated carpal dislocations are rare.
The most common Carpal dislocations are the lunate, the lunate with a scaphoid fracture, and perilunate dislocation.Carpal dislocations can lead to chronic pain and wrist instability. They are difficult to diagnose and are often missed.
- Fracture Around The Shoulder
- Shoulder Arthroscopy
- Shoulder Impingement
- frozen Shoulder
- Shoulder dislocation
- Shoulder Joint Replacement
- Rotator Cuff Tear
- Biceps Tendinitis
- Calcific Tendinitis
- Carpal Injuries
- Reverse Shoulder Replacement Surgery
- Precover Redant Shoulder Location
- Elbow Replacement
- Elbow Arthroscopy
- Elbow Fracture
- Elbow dislocation
- Tennis Elbow
- Radial Head Replacement
- Wrist Scaphoid Nonunion
- Wrist Fractures
- Wrist Scaphoid Fractures
- Wrist Arthroscopy
- Rheumatoid Wrist
- Thumb Pain – 1st CMC Arthritis
